Парс планит с опацитати тип ,, снежни топки"
- Dobrin Stefanov
- 13.02.2022 г.
- време за четене: 2 мин.
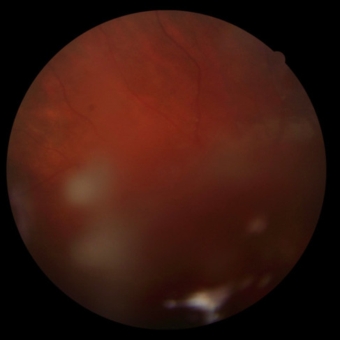
На снимките- Парс планит с опацитати тип ,, снежни топки" при 6-годишен пациент от мъжки пол, открит случайно, при профилактичен преглед. Първоначалното зрение беше 0.4/0.8, като в хода на терапията достигна до 1.0 за двете очи. Пациентът се проследява от офталмолог веднъж месечно, поради риск от рецидив. След пълно етиологично уточняване, интермедиерният увеит остана идиопатичен. Пациентът е носител на HLA B-51.
🔹 Парс планитът е хроничен интермедиерен увеит, по-чест при деца и юноши. Касае се за възпаление на цилиарното тяло, по-специално частта, наречена “парс плана” , предните отдели на стъкловидното тяло и периферната ретина. Интермедиерният увеит рядко е изолиран и по-често се съчетава с възпаление на предните и/или задните отдели на увеята.
🔹Типични субективни симптоми са плаващите мътнини и замъгленото зрение. Сред обективните симптоми са опацитатите в стъкловидното тяло, тип “снежни топки”, представляващи агрегати от инфламаторни клетки и възпалителен ексудат(на снимките), често придружени с периферен ретинален васкулит, невроретинит и макулен едем.
🔹Причина за появата на парс планит могат да бъдат инфекциозни и системни заболявания. По-честите инфекциозни причинители са туберкулоза, лаймска болест, сифилис, токсокара. Някои системни заболявания като саркоидоза, Блау синдром, множествена склероза, възпалителни чревни заболявания(болест на Крон, улцерозен колит), тубулоинтерстициален нефрит и увеит(ТИНУ), Сьогрен синдром могат да стоят в основата на новопоявил се парс планит. Лимфом на ЦНС може да презентира с витреални мътнини и ретинални инфилтрати, имитирайки увеит. В повечето случаи не се открива определена причина за настъпването на интермедиерен увеит и той остава “идиопатичен”. Някои проучвания предполагат автоимунен процес при генетично-предразположени индивиди. В последните 50-години са открити корелации между някои типове HLA-молекули и автоимунните процеси. Основна роля на тези молекули е представянето на собствени и чужди антигени пред клетките на имунната система, а именно подготовка на чужди антигени за атака и имунна толерантност към собствените тъкани. Носителите на определен тип HLA-молекули, като HLA DR2, DR15, B51 и DRB1*0802 са имунологично предразположени към поява на парс-планит.
❗️ Възможни са серия от усложнения, сред които катаракта, кистоиден макулен едем, поясовидна кератопатия, повишено вътреочно налягане, ретинална неоваскуларизация, хемофталм, епиретинална мембрана, тракционно отлепване на ретината. ❗️ Малките деца, страдащи от тежък парс планит са застрашени и от депривационна амблиопия, водеща до трайна загуба на зрение.
🔹 Прогнозата при интермедиерен увеит е непредсказуема, поради хроничния ход на заболяването. При около 10% от пациентите се наблюдава самоограничаване на увеита, а при останалите, той протича с ремисии и екзацербации. Усложненията са причината за загуба на зрение при тези пациенти. Ето защо те подлежат на задължително проследяване от офталмолог. Адекватният контрол на възпалителната активност и избягване на усложненията подобряват прогнозата на заболяването.
Литература: 1.)Nikkhah H, Ramezani A, Ahmadieh H, et al. Childhood pars planitis; clinical features and outcomes. J Ophthalmic Vis Res. 2011;6(4):249-254.
2.) Gough SC, Simmonds MJ. The HLA Region and Autoimmune Disease: Associations and Mechanisms of Action. Curr Genomics. 2007;8(7):453-465. doi:10.2174/138920207783591690
3.)Ozdal PC, Berker N, Tugal-Tutkun I. Pars Planitis: Epidemiology, Clinical Characteristics, Management and Visual Prognosis. J Ophthalmic Vis Res. 2015;10(4):469-480. doi:10.4103/2008-322X.176897







Коментари